€ 5.2488
|
$ 4.5231
|
Curs valutar: € 5.2488
|
$ 4.5231
 

Un dentist dezvăluie de ce dinții tăi sunt galbeni, chiar dacă îi speli corect

ozkan-guner-X7smMpe1CDE-unsplash Foto: Unsplash

Mulți oameni pornesc de la premisa că, atâta timp cât își spală dinții de două ori pe zi și folosesc ața dentară, sunt protejați de orice problemă estetică sau de sănătate orală. Însă realitatea este ceva mai complicată.

Dr. Zainab Mackie, medic stomatolog cu experiență și o prezență extrem de populară pe platforma TikTok, unde are peste 912.000 de urmăritori, a dezvăluit că nu întotdeauna igiena impecabilă este suficientă pentru a menține dinții albi și strălucitori.

Specialista din Michigan explică faptul că există o serie de factori care duc la îngălbenirea danturii, chiar și în cazul celor care respectă toate recomandările standard privind igiena orală. Mesajul său, transmis prin intermediul unui videoclip viral care a adunat 1,7 milioane de vizualizări, a stârnit discuții ample în rândul utilizatorilor de social media, dovedind încă o dată că sănătatea dentară este un subiect de interes general.

Smalțul dentar, „scutul” care se poate eroda

Potrivit Dr. Mackie, una dintre cele mai frecvente greșeli este periajul excesiv de agresiv.

„S-ar putea să vă periați prea tare, îndepărtând smalțul alb”, a avertizat medicul.

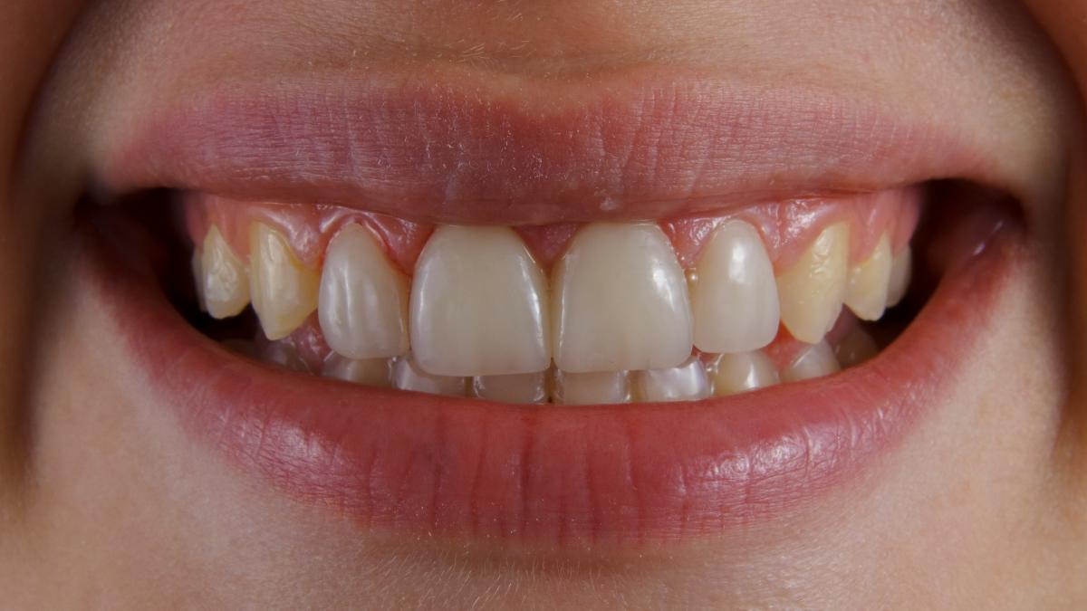
Smalțul este stratul protector dur care acoperă dinții și îi ferește de deteriorări. Totuși, atunci când este subțiat, lasă la vedere dentina, un strat mai moale, cu o culoare gălbuie naturală. Rezultatul? Dinții pot părea mai galbeni, indiferent cât de bine sunt igienizați.

Clinica dentară Dentevim confirmă acest lucru, explicând că eroziunea smalțului este un proces progresiv, dar care poate fi accelerat prin presiunea excesivă exercitată cu periuța. Experții recomandă mișcări circulare blânde, folosirea unei periuțe cu peri moi și evitarea „zelozității” în curățarea zilnică.

Inamicul din pahar: băuturile care colorează dinții

Un alt factor de luat în calcul este alimentația, în special lichidele consumate zilnic. Dr. Mackie atrage atenția asupra băuturilor acidulate și a sucurilor de fructe acide, care pot părea inofensive, dar au un impact major asupra culorii dinților.

„Dacă beți prea multă băutură acidulată, aceasta vă va colora dinții”, a explicat specialista.

Problema nu este doar zahărul, ci și aciditatea și coloranții artificiali, care afectează smalțul. Colgate avertizează că această combinație reprezintă „o rețetă pentru cariile dentare, decolorare și sensibilitate”.

Dar nici alternativele aparent sănătoase nu sunt lipsite de riscuri. „Sucurile de fructe acide sunt cu siguranță un colorant al dinților”, a spus Dr. Mackie, subliniind că aciditatea ridicată contribuie la demineralizarea smalțului și, în timp, la un aspect gălbui.

Efectele acidității asupra danturii

Atunci când mediul din cavitatea bucală devine prea acid, procesul natural de remineralizare, prin care calciul din salivă întărește smalțul, este împiedicat. Astfel, dinții devin vulnerabili la eroziune și carii.

Colgate detaliază acest mecanism: „Dinții dumneavoastră ar putea apărea ușor mai galbeni pe măsură ce smalțul devine mai subțire, expunând dentina de dedesubt. Marginile dinților din față își pot diminua opacitatea, părând că aproape puteți vedea prin ele.”

Astfel, chiar și cei care respectă cu strictețe rutina zilnică de igienă dentară pot ajunge să se confrunte cu probleme estetice.

Cum poți preveni decolorarea dinților

Medicii stomatologi recomandă câteva măsuri simple pentru a contracara aceste efecte. Printre ele:

  • folosirea unui pai atunci când consumi băuturi acidulate sau sucuri, pentru a limita contactul cu dinții;
  • clătirea gurii cu apă simplă după consumul de băuturi colorate sau acide;
  • evitarea periajului imediat după ce ai băut lichide acide, pentru că smalțul este temporar mai sensibil;
  • programarea unor igienizări profesionale regulate la cabinetul stomatologic.

Popularitatea educației dentare online

Succesul Dr. Zainab Mackie pe TikTok demonstrează că publicul larg este tot mai interesat de informații accesibile și corecte despre sănătatea orală. De la lansarea canalului său în 2016, medicul a reușit să creeze o comunitate de aproape un milion de urmăritori, iar videoclipurile sale educative au ajuns frecvent virale.

Oamenii par să fie tot mai preocupați de aspectul danturii, iar rețelele sociale au devenit o sursă rapidă de informare. „Îmi place să-i învăț pe oameni lucruri pe care nu le-au știut niciodată despre dinții lor”, a declarat Dr. Mackie.

Un zâmbet sănătos și strălucitor nu depinde doar de periuță și pastă de dinți. Alimentația, obiceiurile zilnice și modul în care periem pot face diferența între un alb perlat și o nuanță gălbuie. 

@drzmackie Reply to @jack.ferb if your teeth are yellow! #dentist #learnontiktok #teethwhitening #yellowteeth ♬ original sound - Your TikTok Dentist

Google News icon  Fiți la curent cu ultimele noutăți. Urmăriți DCNews și pe Google News

Adaugă comentariu

0 caractere :: Număr maxim de caractere 1000

* Comentariile care contin limbaj vulgar vor fi suspendate

 
 
 
 
 
x close