€ 5.2489
|
$ 4.5099
|
Curs valutar: € 5.2489
|
$ 4.5099
 

Rezultate uimitoare la un test cu radiologi, cu gorila care dansează

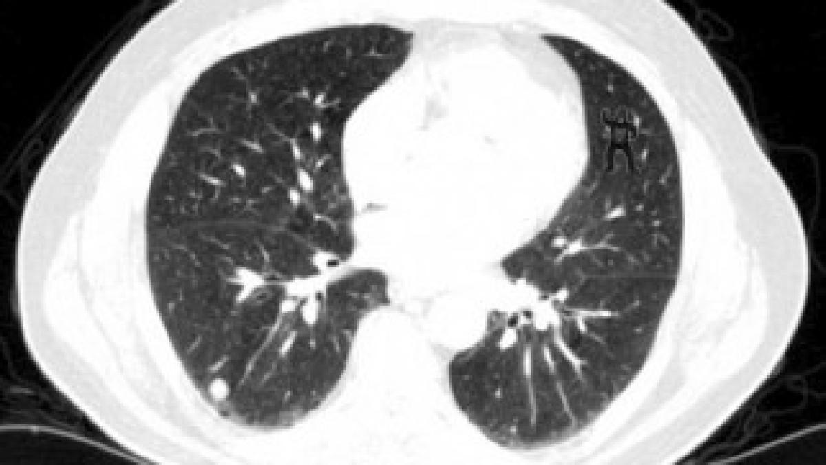
Rezultatele unui test efectuat pe 24 de medici radiologi ai celui mai important spital din Boston au relevat că 83% dintre specialiștii supuși studiului nu au văzut o gorilă desenată, în pofida faptului că s-au uitat peste imagini de cel puțin patru ori.

Cercetătorii au recurs la acest nou studiu psihologic pentru a descoperi consecințele „orbirii involuntare”, atunci când nu vezi ceva ce este în faţa ta. Pentru studiu, oamenii de știință au rugat 24 de radiologi să se uite la câteva radiografii făcute la cinci bolnavi de cancer pulmonar, scrie Daily Mail.

Patru dintre pacienţi aveau radiografiile curate, dar erau ascunse într-o grămadă de 239 de imagini de la un al cincilea pacient, unde cinci radiografii consecutive arătau şi o gorilă care dansează.

Doar patru dintre participanții la studiu au observat gorila care dansează. Gorila a fost observată de doar patru dintre cei 24 de radiologi care au fost rugaţi să examineze radiografiile a cinci pacienţi diferiţi. Pentru a face testul mai greu, în prima radiografie, gorila avea o transparenţă de 50%. În următoarea era de 75 de procente, iar în a treia avea vizibilitate maximă. În ultimele două fotografii, vizibilitatea a fost redusă la jumătate.

Pentru a stabili unde anume se uitau medicii atunci când verificau imaginile, cercetătorii au folosit o tehnologie de ultimă oră. Potrivit profesorului Trafton Drew, autorul studiului, „Majoritatea se uitau direct la gorilă pentru o lungă perioadă de timp. Doar că nu o vedeau”.

De fapt, "orbirea involuntară" nu a fost cauzată de nepăsare, ci doar de atenția medicilor de a identifica nodulii canceroși, ei neavând în plan să identifice vreo gorilă dansatoare.  Studiul a dovedt că medicii radiologi sunt foarte experimentați în detectarea cancerului, dar asta nu înseamnă că ei văd totul.

Drew a fost inspirat de un experiment cu o „gorilă invizibilă”, efectuat în 1999, în care mai mulți voluntari au fost rugați să privească un video în care mai mulţi oameni pasau o minge de baschet şi să numere de câte ori au pasat oamenii care erau îmbrăcaţi în alb.

Studiul, realizat cu mai bine de un deceniu în urmă, a dovedit că peste jumătate dintre voluntari, concentrați să numere pasele servite de persoanele îmbrăcate în alb, nici măcar nu au văzut că, la jumătatea filmării, un bărbat deghizat în gorliă intrase în cadru.

Astfel și radiologii de la spitalul din Boston, atenți să identifice nodulii de ancer pe radiografii, ei nu au reușit să vadă și gorila care dansează, deși dimensiunea sa era de 48 mai mare decât cea a nodulilor.

Interesant a fost faptul că oamenii care nu erau specializaţi în radiologie au reuşit să vadă imaginea gorilei.

Google News icon  Fiți la curent cu ultimele noutăți. Urmăriți DCNews și pe Google News

Adaugă comentariu

0 caractere :: Număr maxim de caractere 1000

* Comentariile care contin limbaj vulgar vor fi suspendate

 
 
 
 
 
x close