€ 5.2489
|
$ 4.5099
|
Curs valutar: € 5.2489
|
$ 4.5099
 

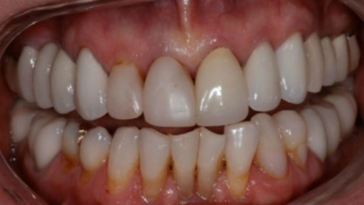
Parodontoza, ce este și cum o tratezi

paradontoza_72780300

Paradontoza nu ţine cont de vârstă, în ultimul timp tot mai mulți tineri fiind afectați, totuși  boala fâcănd  ravagii mai ales persoanelor trecute de 40 de ani.

Parodontoza este o afecțiune gingivală, cauzată de dezvoltarea bacteriilor în gură. Poate duce la pierderea dinților, din cauza distrugerii ţesutului din jurul acestora. Din fericire, boala poate fi prevenită și, dacă s-a instalat deja, tratată.

Simptomele afecțiunii sunt similare cu cele ale gingivitei, adică gingii roșii sau pale, fragile, umflate, senzație de durere la mișcarea limbii, la care se adaugă și căderea unuia sau mai multor dinți sănătoși.

Factorii care  declanșează boala

Placa bacteriană este principalul factor determinant al parodontozei, dar există şi alţi factori care influenţează apariţia acestei boli. Printre aceştia se numără:

-Schimbările hormonale, precum cele care se produc în timpul sarcinii, pubertăţii, menopauzei şi menstruaţiei lunare, care determină sensibilitatea gingiilor.

-Tulburările metabolice, precum diabetul. Diabeticii sunt cei mai predispuşi la apariţia infecţiilor gingivale şi prezintă cel mai mare risc de dezvoltare a parodontozei.

-Bolile care interferează cu sistemul imunitar, precum cancerul sau SIDA.

-Unele medicamente, de exemplu cele care combat convulsiile sau anginele pot provoca o creştere anormală a ţesutului gingival.

-Obiceiurile dăunătoare, precum fumatul.

[citeste si]

Cum poți preveni boala

Boala paradontală poate fi evitată dacă îți periezi dinţii de două ori pe zi, ca să înlături placa bacterienă de la suprafaţa lor. De asemenea, se recomandă utilizarea aţei dentare pentru înlăturarea resturilor alimentare dintre dinţi şi clătirea cavității bucale cu apă de gură antibacteriană. Ar trebui să renunţi la fumat, să eviți situațiile stresante, să adopți o dietă echilibrată, care să întărească sistemul imunitar.

Leacuri pentru paradontoză

Frunze de măselariţă şi hrean. Gargara cu un decoct de frunze de măselariţă este considerată că fiind unul dintre cele mai bune leacuri pentru paradontoză. Acest lucru trebuie realizat în fiecare dimineaţă, timp de şapte zile şi apoi reluat după jumătate de an. Atenţie, măselariţă este o plantă periculoasă dacă este înghiţită, aşa că doar clătiţi gură şi aveţi grijă să nu înghiţiţi.

De aemenea, hreanul, fie se mestecă o rădăcină de hrean în fiecare zi, fie se clăteşte gura sau se masează gingiile cu tinctura diluată, 20 de picături la un pahar de apă.

Propolisul şi ceaiurile ajută la vindecare. Propolisul este eficient în lupta cu această boală. Puteţi să clătiţi gură cu tinctura de propolis (40 de picături la 50 ml apă) sau să mestecaţi 4-5 g de propolis şi apoi să-l înghiţiţi. Puteţi repetă aceste operaţiuni în fiecare zi, până la vindecare.

Ceaiul de muşeţel este probabil unul dintre cele mai cunoscute leacuri pentru parodontoză, datorită proprietăţilor sale antiseptice şi calmante. Infuzia se ţine în gură câteva minute, după care se poate înghiţi. Un efect dezinfectant şi cicatrizant are şi ceaiul de gălbenele, indicat mai ales după extracţia dentară sau dacă sunt alte răni în cavitatea bucală. Infuzia de busuiuc previne apariţia micozelor din gură şi este un leac în tratamentul aftelor bucale.

Lamâile, bananele și sucul de varză. Consumul de banane zilnic ajută în ameliorarea acestei probleme prin reducerea inflamaţiei. Aceeaşi acţiune o are şi sucul de varză. Lămâile au o acţiune tonifiantă asupra gingiilor. Sucul de morcovi este indicat să fie ţinut cât mai mult în gură înainte de a fi înghiţit. Un alt amestec bun pentru masarea gingiilor  este cel alcătuit din ulei de cătină şi sare fină, în proporţii egale.

Google News icon  Fiți la curent cu ultimele noutăți. Urmăriți DCNews și pe Google News

Adaugă comentariu

0 caractere :: Număr maxim de caractere 1000

* Comentariile care contin limbaj vulgar vor fi suspendate

 
 
 
 
 
x close