Publicat pe 10 Aug 2018 Descoperire surprinzătoare: Bolile cardiovasculare, o formă de alergie ascunsă la carne
Publicat pe 09 Aug 2018 Adevărul despre accidentarea Mihaelei Buzărnescu: Cât de gravă e leziunea ligamentului anterior
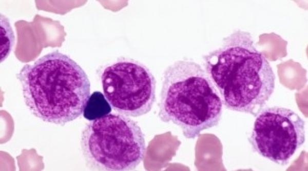
Publicat pe 09 Aug 2018 Prof. dr. Daniel Coriu, interviu: Terapii inovatoare pentru leucemie disponibile în România
Publicat pe 08 Aug 2018 Caz înfiorător. Și-a ucis fiica prin înfometare pe motiv că ar suferi de cancer
Publicat pe 08 Aug 2018 Infarct: femeile au mai multe șanse de supraviețuire dacă sunt tratate de un medic femeie
Publicat pe 08 Aug 2018 Prof. dr. Daniel Coriu, interviu: Celulele tumorale, învinse cu propriile arme ale organismului
Publicat pe 07 Aug 2018 Scandalul Valsartan cancerigen. Ce medicamente se retrag de pe piață, anunț ANM
Publicat pe 06 Aug 2018 Pediatrii avertizează: Mâncarea copiilor nu trebuie pusă în recipiente din plastic
Publicat pe 06 Aug 2018 Caz uimitor: Un băiat epileptic are o viață normală chiar dacă i s-a scos o parte din creier
Publicat pe 05 Aug 2018 Prof. dr. Daniel Coriu, interviu: Cele mai recente informații despre bolile sângelui
Publicat pe 05 Aug 2018 Zeci de mii de doze de vaccin expiră în septembrie. Copiii care nu l-au făcut îngroașă rândurile celor nevaccinați