€ 5.0920
|
$ 4.3641
|
Curs valutar: € 5.0920
|
$ 4.3641
 

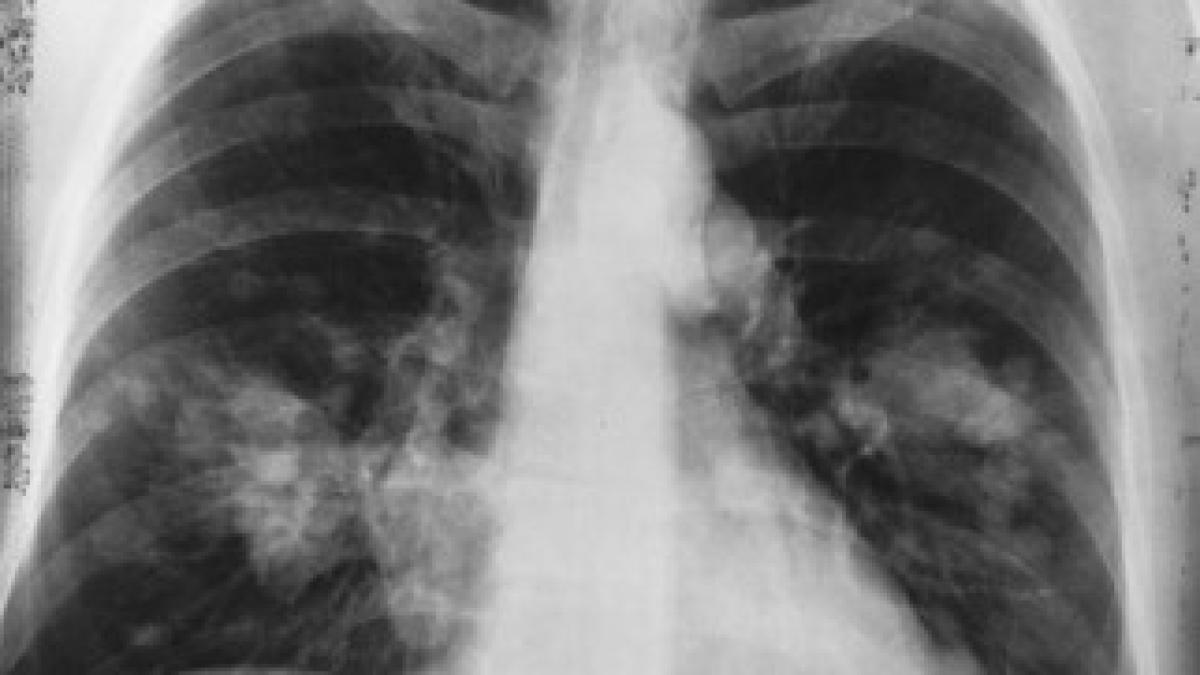
Medicament care combate cancerul la sân, eficient şi în cazul cancerului la plămân, susţin cercetătorii elveţiei

 

Cercetătorii elveţieni au descoperit că un medicament, care se foloseşte pentru tratarea cancerului la sân, poate fi folosit şi pentru combaterea cancerului la plămâni.

Oamenii de ştiinţă au analizat, între 1980 şi 2003, 6. 665 de femei diacnosticate cu cancer la sân. Jumătate din ele au fost tratate cu antiestrogeni. Nu s-a înregistrat nicio diferenţă semnificativă în ceea ce privește numărul femeilor care au dezvoltat cancer la plămâni, însă la cele care se tratau cu antiestrogeni s-a observat o rată mai mică a mortalității.

Autorii studiului spun că dacă cercetările sunt susținute, rezultatele lor vor avea impact mare în practica medicinală. Totuși, Centrul de Cercetare al Cancerului din Marea Britanie avertizează asupra faptului că cercetările trebuie extinse la scară mai mare, înainte de a trage o conluzie.

Hormonii sunt de mult timp asociați cu unele forme de cancer la plămân. Studiile au arătat că mărirea nivelului de estrogen, prin terapia de substituţie hormonală, creşte riscul de cancer pulmonar.

Google News icon  Fiți la curent cu ultimele noutăți. Urmăriți DCNews și pe Google News

Comentarii

Pentru a vedea sau a publica comentarii, te rugăm să te autentifici în Facebook.
 
 
 
 
 
SONDAJ DE OPINIE
Alegeri primar București 2025: Pe cine votați?
Ciprian Ciucu
Daniel Băluță
Cătălin Drulă
Anca Alexandrescu
Ana Maria Ciceală
Alt candidat
Trimite răspunsul
x close