€ 5.2270
|
$ 4.4991
|
Curs valutar: € 5.2270
|
$ 4.4991
 

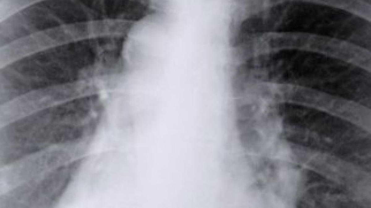
Mărturii impresionante ale bolnavilor de tuberculoză din România. Oricine poate fi contaminat - VIDEO

În anul 2010 România s-a situat din punctul de vedere al incidenţei TB pe primul loc între ţările Uniunii Europene şi pe locul 6 în Regiunea Europa a OMS, după Kazakhstan, Republica Moldova, Georgia, Kirgizstan şi Tadjikistan.

În perioada 2002-2011 incidenţa TB a scăzut cu 42%, de la 142,2%ooo, la respectiv 82,8%ooo. Acest succes a fost obţinut prin menţinerea constantă a ratei de depistare a cazurilor la peste 70% din anul 1995 (74% în 2010, faţă de 73% în Regiunea Europa) şi a ratei de succes terapeutic la cazurile noi pulmonare confirmate bacteriologic, de peste 80% din anul 2003 (86% în 2009 faţă de 67% în Regiunea Europa). OMS a estimat că dacă obiectivele stabilite prin Strategia DOTS, de obţinere a unei rate de depistare a cazurilor de peste 70% şi a unei rate de succes terapeutic de peste 85%, sunt atinse, incidenţa TB poate scădea cu 2% pe an. În România, scăderea incidenţei în ultimii 9 ani a fost în medie de 4,7% pe an.

În valori absolute, numărul de cazuri noi înregistrate în anul 2011 a fost de 14.607, iar cel al recidivelor de 3.142, faţă de 15.963 şi respectiv 3.359 în anul 2010.

Analiza incidenţei TB pe sexe arată o valoare de peste două ori mai mare la bărbaţi (114,4%ooo) faţă de femei (52,9%oo), iar cea pe medii de rezidenţă o valoare cu 25% mai mare pentru mediul rural (96,2%ooo) faţă de mediul urban (71,9%ooo). Vârfuri de incidenţă de peste 100%ooo apar la grupele de vârste între 40 şi 59 de ani.

Curba incidenţei TB la copiii cu vârste între 0 şi 15 ani a urmat acelaşi trend cu cea a incidenţei globale, scăderea fiind cu 51% în intervalul 2002 (48,2%ooo) -2011 (23,8%ooo). În 2011 s-au înregistrat 770 de cazuri la copii, faţă de 1.843 în anul 2002.

Mortalitatea prin TB a fost de asemenea în scădere în perioada analizată, de la 10,8%ooo în 2002, la 6,9%ooo în 2010.

În ceea ce priveşte valorile incidenţei TB în ţară, apar diferenţe importante între judeţe. Astfel, la polul superior se situează judeţele Dolj (148,1%ooo), Mehedinţi (143,0%ooo), Olt (142,0%ooo), iar la cel inferior Harghita (31,5%ooo), Covasna (45,1%ooo), Sibiu (48,7%ooo).

TB este o boală infecţioasă şi contagioasă, care se transmite pe cale aeriană; o persoană care are TB şi nu se tratează poate infecta 10-15 persoane pe an, doar tuşind langă acestea.

Simptomele TB sunt:

- tuse persistentă, care durează mai mult de 2-3 săptămâni,

- febră,

- transpiraţii în timpul nopţii,

- pierderea apetitului,

- pierdere în greutate,

- tuse cu sânge.

TB poate afecta orice parte a organismului, dar în 90% din cazuri ea se localizează în plămâni. Marea majoritate a persoanelor bolnave de TB pot fi vindecate cu un tratament ieftin care durează şase luni. După numai câteva săptămâni de tratament boala nu mai este contagioasă şi apare îmbunătăţirea stării pacienţilor. Netratată însă, tuberculoza poate ucide!

Oricine se poate îmbolnăvi de TB, dar boala este adesea legată de sărăcie, de condiţiile precare de viaţă, lovind cel mai frecvent persoanele din grupurile de populaţie vulnerabile şi marginalizate.

OMS a estimat că la nivel mondial în fiecare an aproape 9.000.000 de oameni se îmbolnăvesc de TB şi aproximativ 1.500.000, dintre care 70.000 sunt copii, mor din cauza acestei boli. Totodată, numai în anul 2009 s-a estimat că 10.000.000 de copii din întreaga lume au rămas orfani pentru că un părinte le-a murit de TB.

Într-o singură zi, TB ucide tot atâţia oameni cât ar muri în 15 accidente aviatice. La nivel mondial TB este a patra cauză de deces la femei.

TB este diagnosticată şi tratată cu metode descoperite în urmă cu 50-100 de ani. Milioane de vieţi ar putea fi salvate dacă s-ar descoperi un test rapid şi ieftin, noi medicamente mai eficiente şi un nou vaccin care să prevină cu siguranţă infecţia.

Vezi mai joi mărturii impresionante ale unor oameni măcinați de boală.

Cele trei filme au fost premiate în cadrul conferinței de presă organizată cu ocazia Zilei Mondiale de luptă Împotriva Tuberculozei.

Oana Dan, Vlad Stoicescu - Litera stacojie: T de la Tuberculoza

Nicoleta Lazăr, Facultatea de Jurnalism și Științele Comunicării, Universitatea București, An III, Specializarea Jurnalism

UNATC în colaborare cu FJSC - Tuberculoza

Google News icon  Fiți la curent cu ultimele noutăți. Urmăriți DCNews și pe Google News

Adaugă comentariu

0 caractere :: Număr maxim de caractere 1000

* Comentariile care contin limbaj vulgar vor fi suspendate

 
 
 
 
 
x close