€ 5.0928
|
$ 4.3580
|
Curs valutar: € 5.0928
|
$ 4.3580
 

Aparatul dentar invizibil. Nu impune restricții alimentare precum aparatul clasic
Autor: Ioana Dinu

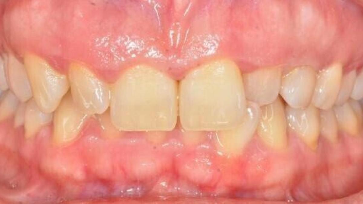
aparat-dentar_40018800 Dinți strâmbi

Dacă vreți să vă îndreptați dinții, dar nu vă place aparatul dentar clasic, există o alternativă: Invisalign.

Dacă vă doriți un aparat invizibil, Invisalign este cea mai bună soluție pentru obținerea rezultatului dorit. Se realizează în SUA utilizând o tehnologie 3D computerizată pentru obținerea planului de tratament și a gutierelor.

Este un aparat invizibil, confortabil, detașabil (se poate îndepărta în timpul meselor și în orice moment doriți), va permite igiena optimă și nu impune restricții alimentare și, cel mai important, vă oferă garanția rezultatului dorit ca urmare a preciziei tehnologiei computerizate.

Indiferent de tipul de aparat dentar, cu o igienă riguroasă, îți poți menține sănătatea dinților și a gingiilor. În cazul aparatelor mobile sau a celui Invisalign, igienizarea se face normal. În situația în care aveți un aparat fix lingual sau clasic, pe exteriorul dinților, trebuie să alocați mai mult timp igienizării.

Este important, pe lângă periajul cu periuțe soft normale sau electrice cu capăt senzitiv, să utilizați periuțele interdentare și dușul bucal. Să întrebați medicul ortodont și acesta îți va explica cum trebuie să te igienizezi și cum poți folosi chiar și ața dentară.

Cui se potrivește aparatul dentar invizibil

Cu siguranță oricui pentru că este un aparat personalizat după forma și mărimea dinților tăi, pornind de la anomalia pe care o aveți. Se poate utiliza aproape în toate cazurile, atât la adolescenți, cât și la adulți.

Cum putem mânca atunci când avem aparat

În afara aparatelor detașabile (mobile sau Invisalign) la care alimentația nu este afectată, în cazul aparatelor fixe trebuie să acorzi atenție sporită alimentației. Nu aveți voie să mușcați din alimente dure (măr, pară, morcov, baghetă pâine), acestea trebuie tăiate bucăți și mestecate pe zona laterală, trebuie să evitați tot ce este foarte crocant: fistic, alune, popcorn.

Sigur că orice element care se desprinde sau se rupe poate fi ajustat și corectat fără probleme, dar pentru a nu prelungi durata tratamentului, trebuie să aveți grijă.

Tratamentul ortodontic este eficient și la adult la orice vârstă, obținându-se alinierea dinților și o mușcătura echilibrată. Frecvent la adult, scopul unui tratament ortodontic este să așezăm dinții corect înaintea unui tratament protetic, înainte de a realiza lucrări protetice sau să creăm spațiu pentru implanturi.

Google News icon  Fiți la curent cu ultimele noutăți. Urmăriți DCNews și pe Google News

Adaugă comentariu

0 caractere :: Număr maxim de caractere 1000

* Comentariile care contin limbaj vulgar vor fi suspendate

 
 
 
 
 
x close