Publicat pe 07 Oct 2021 Raed Arafat, despre posibilitatea unui nou lockdown și finalul valului 4: În decembrie-ianuarie
Publicat pe 07 Oct 2021 Mircea Badea, despre antivaccinistul din Zalău, fan Șoșoacă: Fii șmecher până la capăt! / Târziu de la AUR a vrut să dea o replică, dar s-a încurcat în limba română
Publicat pe 07 Oct 2021 De ce a fost exclusă testarea din certificatul verde. Arafat: Riscul e mare. Am avut arma în mână, dar ne-am bătut joc
Publicat pe 07 Oct 2021 Jurnal de front pandemic: Nevaccinată, cu simptome Covid de o săptămână, adusă de doi preoți la spital de la sute de km distanță
Publicat pe 07 Oct 2021 Spitalele gem de bolnavi de Covid-19 nevaccinați. Mircea Badea: Obligația morală a unui medic este față de ăla care i-a ascultat
Publicat pe 07 Oct 2021 Premieră națională la ARES: Un dispozitiv de resincronizare și defibrilare cardiacă montat fără a trece prin valva tricuspidă a inimii
Publicat pe 07 Oct 2021 Guvernul Lituaniei vrea să acorde câte 100 de euro tuturor vârstnicilor care se vaccinează anti-COVID-19
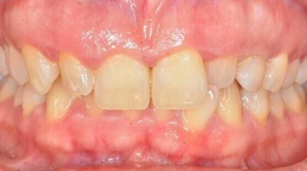
Publicat pe 07 Oct 2021 Cum prevenim sângerările gingivale. Atenție: Vă puteți pierde dinții! / video
Publicat pe 07 Oct 2021 LOCKDOWN. Vasi Rădulescu, explicații ”pentru cei care înjură și nu înțeleg nici cele mai simple chestiuni”
Publicat pe 07 Oct 2021 Restricții mai dure în Cluj-Napoca de azi. Carantină de noapte și în timpul săptămânii
Publicat pe 06 Oct 2021 În Italia se redeschid cluburile de noapte. Se intră doar cu ”pașaport verde”
Publicat pe 06 Oct 2021 Nelu Tătaru: Realitatea este așa cum o vedeti în fotografie. Încotro alegem să ne îndreptăm?
Publicat pe 06 Oct 2021 Dr. Beatrice Mahler: Trăim o dramă în spitale. Ricuri mari să ajungem în situația Italiei
Publicat pe 06 Oct 2021 Managerul Spitalului Judeţean Galaţi, avertisment: Unul din cinci pacienţi la UPU, cu COVID-19. Pregătim spitalul pentru ce e mai rău
Publicat pe 06 Oct 2021 Stare de alertă prelungită în România. Lista completă de restricții în valul 4 COVID-19, în funcție de rata de incidență
Publicat pe 06 Oct 2021 Pandemie, valul 4. Carmen Dorobăț: Lipsesc medicamente absolut necesare la un caz grav
Publicat pe 06 Oct 2021 Dr. Dorel Săndesc, mesaj dramatic: Situația este EXTREM de gravă. Mulți regretă amarnic, dar de multe ori este prea târziu
Publicat pe 06 Oct 2021 Cori Grămescu, semnal de alarmă: Poți plânge 3 luni de foame pentru obiectivul tău, fără să ai probleme de sănătate?
Publicat pe 06 Oct 2021 Jurgen Klopp, discurs manifest pro vaccinare: E ca şi cum ai bea şi vrei să conduci
Publicat pe 06 Oct 2021 Gabriel Toma, supraviețuitor ATI COVID, detalii care dau FIORI: Am delirat zile întregi, eram legat de mâini și de picioare. URLAM după apă
Publicat pe 06 Oct 2021 Profesoară No Vax, de la dușman înverșunat al vaccinului anti-COVID, la pocăință: Am înțeles că nu se glumește cu virusul
Publicat pe 06 Oct 2021 Certificatul COVID s-ar putea schimba. Adriana Pistol: Ne aşteptăm la aşa ceva
Publicat pe 06 Oct 2021 Rafila: Masca de protecție în spațiile deschise, măsură de sănătate publică. Nemulțumirile să fie adresate celor ce nu au acționat
Publicat pe 06 Oct 2021 Managerul Spitalului din Găești, revoltat că România mai cumpără 500 de concentratoare de oxigen
Publicat pe 06 Oct 2021 Vaccin Covid-19. Urmează doza 4 pentru persoanele cu anumite boli. Lista cu afecțiunile vizate o găsiți aici
Publicat pe 06 Oct 2021 România va ajunge la 20.000 de cazuri pe zi. Adriana Pistol: Dacă nu facem nimic, DA!
Publicat pe 06 Oct 2021 Medicul Vasi Rădulescu: Să pronunțe REPEDE cineva dintre oficiali: LOCKDOWN. Pentru toți! Inclusiv pentru vaccinați!
Publicat pe 06 Oct 2021 OFICIAL: EXCEPȚIILE privind instituirea obligativității purtării măștii de protecție
Publicat pe 06 Oct 2021 Bilanț coronavirus 6 octombrie 2021. NOU RECORD tragic cu infectările din România. Val de copii și tineri (nevaccinați) morți
Publicat pe 06 Oct 2021 Numărul de infectări de astăzi bubuie. Iohannis: Sunt foarte îngrijorat. Am primit datele
Publicat pe 06 Oct 2021 Un nou raport sugerează că virusul SARS-CoV-2 s-a răspândit virulent în Wuhan încă din vara anului 2019
Publicat pe 06 Oct 2021 Acad. dr. Stolnici, după 75 de ani de medicină, omul care a prins o mulțime de epidemii, mesaj pentru anti-vacciniști
Publicat pe 06 Oct 2021 Managerul Spitalului Victor Babeș din Timişoara a cerut o autospecială care să stea în curtea unității, în caz de incendiu
Publicat pe 06 Oct 2021 Șoșoacă se dezice de fanul ei care a ajuns în stare gravă la spital din cauza Covid-19. Irineu Darău (USR) a pus-o la punct după delirul anti-vaccinist
Publicat pe 06 Oct 2021 Medicul Vasi Rădulescu și 15 lucruri care îți vor îmbunătăți semnificativ viața
Publicat pe 06 Oct 2021 Medic ATI, despre tinerii infectați cu varianta Delta, nevaccinați: Suntem nevoiți să îi sedăm și aplicăm metode invazive