Publicat pe 19 Aug 2021 A fost descoperită o „ruptură” ciudată, de 3000 de ani lumină, într-un braț al Căii Lactee
Publicat pe 18 Aug 2021 Inundațiile și secetele vor deveni tot mai extreme, se arată în cel mai mare raport climatic din istorie
Publicat pe 17 Aug 2021 Creatorii vaccinului AstraZeneca folosesc aceeași tehnologie pentru a crea un ser împotriva ciumei
Publicat pe 15 Aug 2021 Britanicii dau alerta. E o posibilitate REALĂ ca o nouă variantă Covid-19 să fie IMUNĂ la vaccin și anticorpi, prelungind pandemia cu UN AN
Publicat pe 11 Aug 2021 Perseide 12-13 august 2021. Este sau nu ploaie de stele? Ce spun specialiștii
Publicat pe 11 Aug 2021 Descoperire istorică în Turcia. Arheologii spun că au găsit rămășițele Calului Troian / FOTO
Publicat pe 10 Aug 2021 A fost identificată originea asteroidului care a dus la dispariția dinoazurilor
Publicat pe 10 Aug 2021 Girafele, creaturi înţelese greşit. Zoologii, noi descoperiri: Mă surprinde că am descoperit abia în 2021
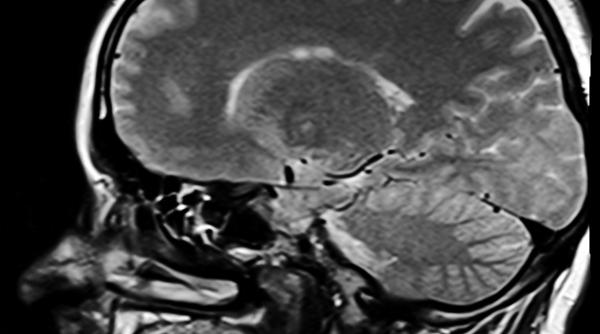
Publicat pe 10 Aug 2021 Demența, diagnosticată după o singură scanare a creierului. Inteligența artificială se ocupă de tot
Publicat pe 09 Aug 2021 Cercetător american: Moartea nu există, este doar o iluzie a conștiinței. La sfârșitul tuturor, sunteți încă voi
Publicat pe 09 Aug 2021 Perseide 2021. În noaptea de 12 spre 13 august, punctul maxim al curentului de meteori
Publicat pe 09 Aug 2021 Curentul Golfului se apropie de colaps. Vestul Europei ar putea intra într-o eră glaciară
Publicat pe 06 Aug 2021 Anomalia din adâncurile Pământului. "Bomba cu metan" din Siberia pune în pericol milioane de oameni - VIDEO
Publicat pe 05 Aug 2021 Ce se întâmplă în spatele unei găuri negre. Descoperirea unei echipe internaționale de astronomi
Publicat pe 03 Aug 2021 Colaborare România - China. A fost descoperită o posibilă legătură preistorică între cele două spații geografice
Publicat pe 03 Aug 2021 Specialista NASA Erisa Stilley, despre reușita din februarie. „Din 30 de nave spațiale plecate spre Marte, doar 9 au amartizat cu succes”
Publicat pe 02 Aug 2021 Organe compatibile cu corpul uman, crescute în porci. Este o revoluție în medicină
Publicat pe 02 Aug 2021 EXCLUSIV Chimiști români extraordinari. Prof. Constantinescu: Nu a auzit nimeni din România! Sunt două lumi diferite
Publicat pe 02 Aug 2021 Groenlanda se topește tot mai mult. Gheața topită într-o zi ar putea acoperi un stat american cu 5 cm de apă
Publicat pe 02 Aug 2021 Coșuri cu fructe vechi de peste 2.000 de ani găsite în orașul antic scufundat Thonis-Heracleion
Publicat pe 30 Iul 2021 Studiile FALSE despre vaccinul Covid-19 fac pagube ireparabile. Oamenii de știință avertizează
Publicat pe 30 Iul 2021 Studiu: Femeile participă mai puțin la discuții în conferințe. Soluțiile sunt simple și aduc egalitate
Publicat pe 30 Iul 2021 Stația Spațială Internațională, scăpată de sub control după ce motoarele unui modul rusesc au pornit singure
Publicat pe 29 Iul 2021 Vreme extremă, de ce au apărut fenomenele meteo severe. Canicula și precipitațiile abundente nu se opresc aici
Publicat pe 27 Iul 2021 Necazul oamenilor a fost bucuria țestoaselor din Grecia. Anul 2020 le-a salvat
Publicat pe 27 Iul 2021 Astronomii au detectat vapori de apă pe cel mai mare satelit din Sistemul Solar / FOTO
Publicat pe 26 Iul 2021 O rocă misterioasă de pe un câmp s-a dovedit a fi un meteorit extrem de rar, vechi de 4,6 miliarde de ani
Publicat pe 26 Iul 2021 Cercetătorii IPCC pregătesc raportul schimbărilor climatice. Analiza, luată în calcul de liderii lumii
Publicat pe 25 Iul 2021 Schimbările climatice ne vor răpi bucuria verii. Experții avertizaseră de ani întregi că se va ajunge aici
Publicat pe 25 Iul 2021 ADN în stare perfectă, recuperat de la o oaie mumificată în mod natural în urmă cu 1.600 de ani
Publicat pe 23 Iul 2021 Studiu nou despre Pfizer. De ce este importantă durata dintre cele două doze ale vaccinului
Publicat pe 23 Iul 2021 Brățările care avertizează coliziunile iminente, testate cu succes de persoanele nevăzătoare
Publicat pe 22 Iul 2021 Primul război între cimpanzei și gorile observat vreodată. Cum au decurs luptele
Publicat pe 21 Iul 2021 Descoperire monumentală de fosile din Jurasic în Marea Britanie. Locul este ținut secret
Publicat pe 21 Iul 2021 Roverul Curiosity a găsit sursa emisiilor de metan de pe Marte. Ar putea fi cheia descoperirii vieții
Publicat pe 20 Iul 2021 O predicție din 1972 a colapsului global pare să se îndeplinească în următoarele decenii. „Prăbușirea“ este iminentă
Publicat pe 17 Iul 2021 NASA, avertisment: Modificările orbitei Lunii vor cauza INUNDAȚII catastrofale. Vor fi în rafală și mult mai severe
Publicat pe 14 Iul 2021 Dezastru ecologic. Mii de pui de flamingo, găsiți morți într-un lac din Turcia - VIDEO
Publicat pe 12 Iul 2021 Turismul spaţial, în plină ascensiune. Elon Musk şi-a cumpărat bilet de 250.000 de dolari
Publicat pe 08 Iul 2021 Studiu de două decenii: Morțile din cauza caniculei sau frigului, în creștere. Europa de Est este epicentrul