€ 5.0918
|
$ 4.3226
|
Curs valutar: € 5.0918
|
$ 4.3226
 

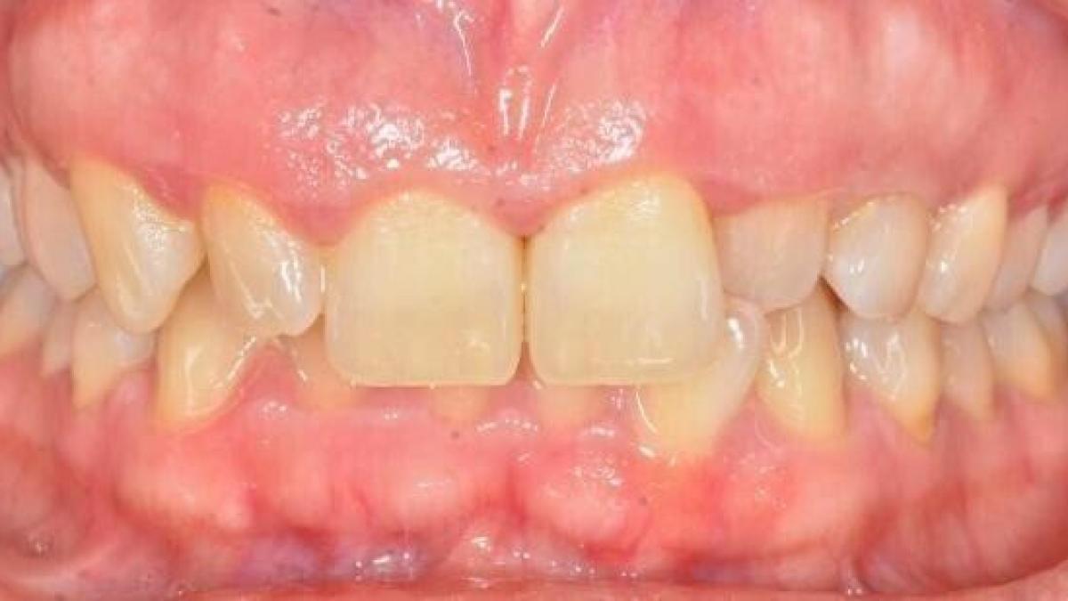
Cum prevenim sângerările gingivale. Atenție: Vă puteți pierde dinții! / video
Autor: Ioana Dinu

sangerari-gingivale_61483500 sângerări gingivale

Sângerarile gingivale sunt o manifestare atât de comună încât majoritatea persoanelor cred că este normală și nu-i acordă importanța necesară.

Gingiile sănătoase nu sângerează. Așadar, nu este normal să vezi sânge în timpul periajului sau când folosești ața dentară. Dacă îți apar sângerări gingivale, consultă dentistul deoarece acestea pot fi un semn precoce al afecțiunii gingivale.

”Sângerările gingivale pot apărea sporadic, de exemplu, ca urmare a agresării gingiei în timpul periajului dentar. Însă dacă aceste sângerări sunt persistente și le observi la fiecare periaj și nu numai, este cazul să te alarmezi și să ceri părerea medicului stomatolog.

Sângerările gingivale pot fi cauzate de: igiena orală precară care duce la acumularea de placă bacteriană la nivelul șanțului gingival și pot conduce chiar la pierderea dinților dacă nu se intervine rapid pentru eliminarea cauzei, modificări hormonale, cum ar fi la pubertate, în cursul ciclului menstrual, în sarcină sau la menopauză,  boli sistemice, cum ar fi diabetul, carența de vitamina C, boli hematologice (leucemii, anemii, trobocitopenii), boli hepatice, disfuncții imune, tulburări genetice, efectul secundar al anumitor medicamente cum sunt anticoagulantele, anticonvulsivantele, antiepilepticele, blocanți ai canalelor de calciu, contraceptivele, imunosupresoarele și chimioterapicele. Dacă te confrunți cu sângerări gingivale recurente, adresează-te medicului stomatolog pentru identificarea cauzei și stabilirea unui plan de tratament”, a spus medicul Denisa Zaharia.

VEZI ȘI: Dr. Denisa Zaharia: Albirea dentară efectuată acasă are riscuri ireversibile

Dr. Denisa Zaharia, medic stomatolog, specializat în ortodonție și fondator al unei clinici stomatologice de top, prezentă pe piața din România de peste 14 ani, avertizează că albirea dinților, unul dintre cele mai accesate servicii de estetică dentară în ultimele luni, poate avea multiple efecte secundare, precum afectarea ireversibilă a smalțului dentar, iritațiile gingivale sau sensibilitatea crescută a dinților, daca nu este aplicată corect, sub supravegherea unui medic stomatolog. 

“Pacienții tineri, adolescenții și adulții tineri sunt cei mai interesați de albirea dentară. 80% dintre pacienții care accesează albirea dentară au până în vârsta de 30 ani. Ei își doresc un zâmbet strălucitor și, din păcate, nu sunt interesați de efectele secundare.”, declară medicul Denisa Zaharia care subliniază că tratamentele de albire dentară care se efectuează acasă au riscuri majore pe termen lung. 

Tentați de efectele de albire a dinților promise de produsele existente pe piață și de exemplele date de persoane influente din social media, oamenii ignoră indicația de a apela la medici stomatologi care să le personalizeze tratamentul de albire în funcție de nuanța dinților și de specificitățile danturii lor. “Există un risc clar de abuzare a tratamentelor de albire, când se aplică excesiv produse de albire cum sunt benzile sau dispozitivele gutieră. Pacienții sunt tentați să își cumpere și să își aplice singuri nesupravegheați aceste produse care există pe piață, fără să cunoască sau să înțeleagă riscurile. Sunt multe kituri de albire dentară la domiciuliu pe piață. Eficiența lor depinde de concentrația substanței active din ele și de baza pe care intervin. Aceste kituri sunt la un preț avantajos, dar nu sunt sigure, ele pot produce afectarea smalțului sau a gingiei”, subliniază dr. Denisa Zaharia, medic stomatolog ortodont.   

Repetarea procedurii

În plus, odată ce intervin asupra coloraturii dentiției, unii pacienți repetă procedura de albire a dinților, chiar dacă indicația este să fie făcută la cel puțin un an distanță: “Efectele albirii se pot observa până la 2-3 ani de zile, dar variază și depinde de obiceiurile de viață pe termen lung. Albirea dentară nu poate fi efectuată anual, pentru că efectele asupra smalțului sunt cumulative. Oamenii au tendința de a găsi permanent motive pentru a-și dori dinții albi, dar trebuie să luăm în calcul modul lor general de viață și dacă își pot schimba obiceiurile nocive unui smalț alb strălucitor.”, avertizează dr. Denisa Zaharia. 

Albirea dentară este o metodă foarte eficientă pentru deschiderea culorii naturale a dințior fără a îndepărta din suprafața smalțului. Nu poate modifica complet culoarea naturală, dar prin noile tehnologii se poate obține o albire cu 8-12 nuanțe, fără afectarea smalțului dentar: “Există o limită în cât de mult ne putem albi dinții. Procesul are un platou si peste acesta, peroxidul, substanța activă, nu mai poate acționa suplimentar, dar, în schimb, poate să distrugă din proteinele smalțului și afectează structura acestuia. Medicul stomatolog este cel care poate urmări procesul și evoluția pornind de la nuanța inițială a smalțului și determină nivelul maxim de albire. Sunt studii care atestă distrugeri importante de smalț asociate cu utilizarea în exces a produselor de albire, cu precădere la pacienții care nu au fost urmăriți pe durata acestor tratamente.”, subliniază medicul Denisa Zaharia.

Datorită dezvoltării și evoluției tehnologice, fie că implică laser sau lampă profesională de albire, albirea dentară se poate realiza în cabinetul stomatologic într-o singură ședință de 1 oră, fără afectarea smalțului, cu eficiență maximă: 

“Se aplică un gel protector sau digă lichidă la nivelul gingiei pentru protecție. Ulterior se aplică gelul de albire pe suprafața dinților, ingredientul activ este peroxidul de hydrogen sau peroxidul de carbamidă, din care se eliberează oxigenul și acesta difuzează în smalț și realizează albirea dinților. Gelurile de albire profesională utilizate de medicul stomatolog au o concentrație mai mare de peroxid, până la 40%. Activarea acestui proces se realizează prin aplicarea unei lumini UV. Suplimentar, în urma unei amprente dentare clasice sau prin scanare, se realizează gutierele de albire la domiciliu, dispozitive transparente în care pacientul este instruit cum să își aplice gelul de albire. Acesta are o concentrație mai slabă (15%) și pacientul urmează să poarte aceste gutiere pe timpul nopții (8 H) pentru 7-10 zile.”, explică dr. Denisa Zaharia care semnalează că pentru a păstra rezultatul albirii pentru mai mult timp este indicat ca pe durata procedurii, pacientul să evite consumul de alimente și băuturi puternic pigmentare precum: vin roșu, cafea, ceai, fructe de padure, oțet balsamic, condimente, pentru că dinții continuă să se albească și după ce tratamentul s-a încheiat în clinica stomatologică, iar în această perioadă, suprafața dinților este mult mai permeabilă. 

Cui nu i se recomandă tratament de albire dentară

Nu este recomandată albirea dinților în cazul adolescenților sub vârsta de 15 ani, femeilor însărcinate, pacienților care prezintă eroziuni la nivelul smalțului și hipersensibilitate dentinară susține medicul stomatolog: “Se recomandă prudență și evaluarea beneficiului punând în balanță riscurile. În cazul copiilor, dinții temporari și permanenți recent erupți au stratul de dentină mai subțire, smalțul este mai permeabil, ceea ce ar putea duce la sensibilitate crescută și albire neuniformă, expunerea pulpei dentare la peroxid sau iritații gingivale. Există cazuri când se poate lua în calcul ca soluție optimă albirea dentară înainte de această vârstă, spre exemplu când există o discromie severă care îi poate crea anxietate copilului, iar medicul împreună cu părinții aleg varianta cea mai bună.”, subliniază dr. Denisa Zaharia, medic stomatolog, specializat în ortodonție. 

Albirea dentară după tratamente ortodontice

Un procent mare de persoane care finalizează un tratament ortodontic apelează la serviciul de albire profesională a dinților: “La pacienții cu aparate dentare fixe, suprafața dinților nu mai este una netedă, astfel colorațiile și petele se depun mai ușor, autocurățirea și igienizarea se realizează mai dificil. După îndepărtarea aparatului se realizează o igienizare profesională care constă în detartraj, periaj și air flow care sunt eficiente în obținerea unui smalț alb strălucitor. Sunt cazuri în care discromiile apărute pe parcursul tratamentului sunt mai intense sau când pacientul îsi dorește ca zâmbetul armonios să fie completat de un alb strălucitor și atunci este indicat tratamentul de albire dentară, dacă vârsta nu reprezintă o contraindicație.”, declară medicul stomatolog ortodont dr. Denisa Zaharia care avertizează și asupra pastelor de dinți care promit un efect de albire dentară. 

“Pastele de dinți care promit albirea dentară conțin particule fine abrazive care exfoliază suprafața smalțului și îndepărtează petele. Procesul de albire are însă și un efect secundar, dacă utilizăm aceste paste abrazive pentru o perioadă prea mare de timp, îndepărtăm din stratul superficial al smalțului dentar afectându-l ireversibil.”, semnalează dr. Denisa Zaharia care susține că importanța respectării regulilor de igienă orală, evitarea obiceiurilor nocive precum fumatul sau consumul de sucuri, cafea și ceai sunt esențiale pentru pastrarea unui aspect frumos și sănătos al dinților. 

Google News icon  Fiți la curent cu ultimele noutăți. Urmăriți DCNews și pe Google News

Adaugă comentariu

0 caractere :: Număr maxim de caractere 1000

* Comentariile care contin limbaj vulgar vor fi suspendate

 
 
 
 
 
SONDAJ DE OPINIE
Închide
În plină criză economică și petrolieră, PSD ar trebui să iasă de la guvernare?
Da
Nu
Trimite răspunsul
x close