€ 5.0918
|
$ 4.3226
|
Curs valutar: € 5.0918
|
$ 4.3226
 

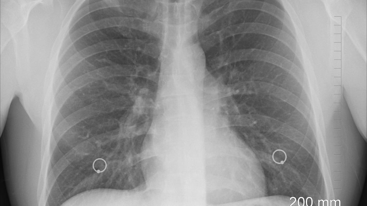
CNCAV: Plămân afectat de COVID-19 versus plămân sănătos / FOTO

plaman-afectat-de-covid19-versus-plaman-sanatos_68843500 CNCAV: Plămân afectat de COVID-19 versus plămân sănătos / Foto cu caracter ilustrativ: Pixabay

Comitetul Național de Coordonare a Activităților privind Vaccinarea a publicat o imagine în care arată cum afectează COVID-19 plămânii umani.

Comitetul Național de Coordonare a Activităților privind Vaccinarea (CNCAV) a publicat o imagine comparativă între un plămân sănătos și unul afectat de coronavirus. După cum se poate observa în imagine, virusul SARS-CoV-2 a afectat aproape în totalitate plămânii.

„Plămân afectat de COVID-19 versus plămân sănătos

În imaginea din partea stângă este radiografia pulmonară a unui tânăr, în vârstă de 23 ani, cu o saturație de 72%.

Tânărul infectat, nevaccinat

Tânărul s-a infectat la mare și, din păcate, nu este vaccinat împotriva COVID-19.

În imaginea din partea dreaptă este o radiografie normală a unei persoane sănătoase. Diferențele sunt vizibile, chiar dacă o saturație normală presupune peste 95%.

Vă rugăm să respectați toate măsurile de protecție!

Boala COVID-19 nu ține cont de vârstă și tot mai mulți tineri au ajuns să fie internați la terapie intensivă.

Vaccinarea rămâne cea mai la îndemână soluție de protecție împotriva COVID-19!

Prin vaccinare împotriva COVID-19:

- se reduce riscul de infectare;

- se reduce riscul de transmitere a virusului;

- se reduce considerabil riscul de spitalizare;

- se reduce considerabil riscul de deces.“, searată într-o postare pe pagina de Facebook RoVaccinare.

OMS îşi reafirmă opoziţia faţă de cea de-a treia doză de vaccin anti-Covid

Organizaţia Mondială a Sănătăţii (OMS) a cerut încă o dată miercuri ca persoanele imunizate împotriva COVID-19 să nu primească cea de-a treia doză de vaccin, astfel încât flacoanele să fie trimise către ţările sărace care au reuşit să imunizeze doar o mică parte a populaţiilor lor, relatează AFP. 

'În acest moment, nu vrem să vedem o utilizarea la scară largă a dozelor de rapel pentru persoanele sănătoase care sunt complet vaccinate', a declarat directorul general al Organizaţiei Mondiale a Sănătăţii (OMS), Tedros Adhanom Ghebreyesus, într-o conferinţă de presă.

'Nu voi rămâne tăcut când companiile şi ţările care controlează aprovizionarea globală cu vaccinuri consideră că populaţia săracă a lumii ar trebui să se mulţumească cu resturile', a declarat el, iritat.

A treia doză de vaccin

La începutul lunii august, directorul OMS a dorit să decreteze un moratoriu asupra dozelor de rapel până la sfârşitul lunii septembrie, însă mai multe ţări bogate s-au opus public şi au lansat campania administrării celei de-a treia doze de vaccin.

Miercuri, Tedros Adhanom Ghebreyesus a cerut totuşi 'o prelungire a moratoriului cel puţin până la sfârşitul anului 2021 pentru a permite fiecărei ţări să vaccineze cel puţin 40% din populaţia sa' (citește continuarea AICI).

Google News icon  Fiți la curent cu ultimele noutăți. Urmăriți DCNews și pe Google News

Adaugă comentariu

0 caractere :: Număr maxim de caractere 1000

* Comentariile care contin limbaj vulgar vor fi suspendate

 
 
 
 
 
SONDAJ DE OPINIE
Închide
În plină criză economică și petrolieră, PSD ar trebui să iasă de la guvernare?
Da
Nu
Trimite răspunsul
x close